5人に1人が当てはまる!?「ただの変色」じゃない歯のトラブル、エナメル質形成不全とは
歯科ブログ
2026.04.18

こんにちは!箕面市牧落オートバックス前、ヨコヤマ歯科の歯科衛生士 橋口です🌿
お子さんの歯が生えてきたときや、鏡で自分の歯を見たときに「あれ?ここだけ色が違うな?」と気になったことはありませんか?
「しっかり磨いているのに、一部だけ白い(または茶色い)斑点がある」
それは、もしかすると単なる着色汚れではなく、『エナメル質形成不全』かもしれません🦷
実はこれ、5人に1人くらいの割合で見られる、決して珍しくない症状なんです👀
エナメル質形成不全ってなに?
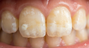
歯の一番表面にある、体の中で最も硬い組織「エナメル質」。これが歯が作られる成長過程で、何らかの原因によってうまく作られなかった状態を指します。
• 見た目の特徴: 歯の一部が白濁していたり(ホワイトスポット)、黄色や茶色に変色していたりします。
• 原因: 遺伝的なものから、乳歯の時期の大きな虫歯、あるいは全身的な病気や栄養不足など、原因はさまざまです。
なぜ放っておくと怖いの?
「色が違うだけで、痛みがないなら大丈夫かな?」と思われがちですが、注意が必要です。
1. 虫歯になりやすい: エナメル質が通常より弱いため、酸に弱く、一度虫歯になると進行が非常に早いです。
2. 知覚過敏が起きやすい: 神経を守る壁が薄いため、冷たいものがしみやすくなります。
3. 見た目のコンプレックス: 特に前歯だと、笑ったときに気になってしまう方も多いです。
ヨコヤマ歯科での治療とケア
「エナメル質形成不全かも?」と思ったら、まずは早めに歯科医院でチェックしましょう!
高濃度のフッ素塗布で歯を強化し、定期検診で経過をしっかり見守ります。
大切なのは「早期発見」と「守るケア」
エナメル質形成不全は、病気というよりは「歯の個性」に近いもの。でも、「虫歯になりやすい個性」であることは間違いありません。
「これってそうなのかな?」と少しでも不安になったら、いつでもお気軽にヨコヤマ歯科へご相談ください。大切な歯を長く守るために、私たちと一緒にケアしていきましょう!


