「矯正治療を成功に導く鍵──口腔内写真・顔貌写真を活用する理由」
歯科ブログ
2025.10.30
みなさんこんにちは🦷
箕面市牧落オートバックス前、「ヨコヤマ歯科」歯科衛生士の中田です!
今回のブログでは当院で行う矯正歯科治療についてお話しいたします。
歯列矯正を始める際に、ただ歯並びだけを見て「このように治しましょう」というだけでは、十分と言えません。
実は、治療開始前から“写真による記録”をしっかり残すことが、治療効果を最大化し、患者様との信頼関係を築く上でも極めて重要です。
今回は、当院における「口腔内写真」と「顔貌写真」の活用の意義についてご紹介します。
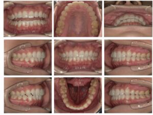
口腔内写真の役割

まず、「口腔内写真」は、歯・歯肉・咬合(噛み合わせ)の状態を詳細に記録するツールです。
肉眼では気付きにくい微細な亀裂や歯肉のわずかな炎症も、写真に撮ることで見落としを防ぐことができます。
異なる角度からの撮影を行うことで、立体的な口腔環境を把握でき、例えば噛み合わせのズレや微妙な歯の傾きの変化も診断しやすくなります。治療前・中・後に比較することで、どの位歯が動いたか、計画通り進んでいるかを可視化できます。また、患者様自身にも「こんなに変わった!」と実感していただけるため、治療へのモチベーション維持にもつながります。
さらに、写真を記録として保存しておくことで、将来にわたる経過観察や、別の専門医へ情報を引き継ぐ際にも大きな助けとなります。例えば、以前の治療箇所の変化や術後の安定度を振り返る際、写真があることで明確に比較できます。
顔貌写真の意義

次に、「顔貌写真」。
これは、歯並びや顎の形だけでなく、「顔全体のバランス」「笑ったときの口元」「顎ライン」の調和といった美容的要素も含めて評価するためのものです。矯正治療は、単に歯列を整えるだけでなく、顔の輪郭や表情の印象にも影響を与え得ます。
顔貌写真を用いることで、「左右の対称性」「笑顔の見た目」「顎のラインの位置」などを確認でき、見た目の美しさを考慮した治療計画を立てることができます。
顔貌写真を用いて口元の突出感を評価することで抜歯を伴う治療が必要か否かの診断も行います。
患者さんがもつ骨格や顔の形により治療の方法や難易度は大きく異なります。
治療開始前と後で顔貌写真を比較することで、「表情が明るくなった」「顎のラインがシャープになった」などの変化が視覚的に分かります。これは、患者様にとっての大きな励みになるだけでなく、当院としても治療成果を自信を持ってご説明できる材料になります。また、治療の過程を透明にすることで、患者様との信頼関係構築にもつながります。
当院での取り組み

当クリニックでは、初診時・治療中・終了時それぞれに口腔内写真と顔貌写真の撮影を徹底しています。
仮に初診時に患者さんに矯正治療の希望がないケースであってもかみ合わせが原因でお口が壊れているケースに関しては矯正治療をこちらからご提案することもあります。
お口やお顔の写真を撮影することは診断の精度を高めるとともに、患者様一人ひとりに最適な治療プランの提供を可能にします。
また、定期的な撮影と記録保存により、治療の進み具合をチェックし、必要に応じてプランの見直しも行っています。
写真を用いた説明により、患者様自身にご自身の状態を可視化してご理解いただき、治療へのご協力を得やすくしています。
当院では治療が終わった後も、メンテナンスや定期検診の際に写真と併せたアフターケアを行うことで、長期的な口腔健康の維持をサポートします。
まとめ
口腔内写真・顔貌写真はいずれも「診断の精度向上」「治療効果の確認」「患者様とのコミュニケーション」「記録と保存」という多面的な役割を果たします。
当院では、皆様が「美しい笑顔」「長期的に健康な口腔」を手に入れられるよう、写真を活用して正確な診断それに伴った最適な治療計画の提案を行っております。
お口に悩みをお持ちの方はお気軽にご相談ください。

